Radioogle
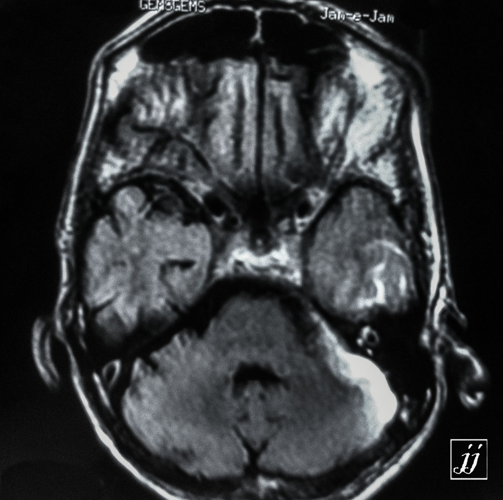
Brain- left side brain contusion edema and hemorrhage (4)
Patient Data
Gender:
Age:
Imaging:
Supervised & reported by:
Description:
Leave a comment
Cancel reply
Comment
*
Name
*
Email
*
Website
Please enter an answer in digits:
3 × five =
Δ
Page 1 of 1
1
Leave a comment